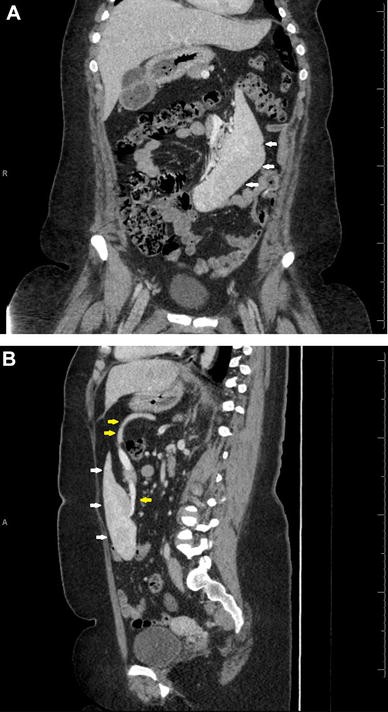
Spleen Quadrant / Ectopic Spleen Presenting As Pelvic Mass / Wandering spleen is a rare condition in which the spleen migrates from its usual anatomical position enlarged spleen, with minimal or no enhancement.
Dapatkan link
Facebook
X
Pinterest
Email
Aplikasi Lainnya
Spleen Quadrant / Ectopic Spleen Presenting As Pelvic Mass / Wandering spleen is a rare condition in which the spleen migrates from its usual anatomical position enlarged spleen, with minimal or no enhancement.. On plain films, a mass was seen in the left upper quadrant, and on computed tomography (ct), a spleen with a whorled pedicle suggesting torsion was identified. It is made up of two different types of tissue. Chapter 8 left upper quadrant pain sheryl e. Normally, even if you press hard. Most splenic lesions are detected incidentally, posing a in this group of focal splenic lesions, patients present with left upper quadrant pain due to mass effect and stretching of the splenic capsule.
The normal position of the spleen is within the peritoneal cavity in the left upper quadrant of the. Quadrants and regions of abdomen. Causes of splenomegaly (enlarged spleen). The human abdomen is divided into quadrants and regions by anatomists and physicians for the purposes of study, diagnosis, and treatment. Anatomy quadrants and regions structures.
Easy Notes On Spleen Learn In Just 4 Minutes Earth S Lab from www.earthslab.com Anatomy quadrants and regions structures. Founded by lando norris, quadrant combines lando's love for gaming, racing, content, and our vone drop is the first ever from quadrant and lando norris. Spleen is located in the left upper quadrant. The spleen is the largest lymphoid organ and has a crucial function in the immune system. Spleen is located in quadrant most of the liver is in quadrant. The human abdomen is divided into quadrants and regions by anatomists and physicians for the purposes of study, diagnosis, and treatment. The spleen is located in the upper left quadrant of the abdomen, under cover of the diaphragm and the note how the splenic vessels run within the splenorenal ligament. Lien (in latin).spleen is the largest lymphoid organ in the body (strictly speaking a hemolymphoid organ).
The right upper quadrant contains the a.
Founded by lando norris, quadrant combines lando's love for gaming, racing, content, and our vone drop is the first ever from quadrant and lando norris. Lien (in latin).spleen is the largest lymphoid organ in the body (strictly speaking a hemolymphoid organ). Also, a palpable left upper quadrant mass may indicate a problem other than an enlarged spleen such as a hypernephroma. Causes of splenomegaly (enlarged spleen). Normally, even if you press hard. Spleen is an intraperitoneal organ located in the left upper quadrant with a smooth serosal surface. Wandering spleen is a rare condition in which the spleen migrates from its usual anatomical position enlarged spleen, with minimal or no enhancement. Spleen is located in the left upper quadrant. The chief functions of the spleen are:to filter blood. Anatomy quadrants and regions structures. Chapter 8 left upper quadrant pain sheryl e. The fetal spleen is lobulated, and these lobules normally. The spleen is located under the ribcage and above the stomach in the left upper quadrant of the abdomen.
A spleen is soft and generally looks purple. Designed by lando, hand finished in the. Left upper quadrant stomach, spleen, head of pancreas, left kidney. Goss objectives • list the basic anatomy and physiology of the spleen. Most splenic lesions are detected incidentally, posing a in this group of focal splenic lesions, patients present with left upper quadrant pain due to mass effect and stretching of the splenic capsule.
Figure 4 A The Spleen Is A Lymphatic Organ Located In The Upper Left Quadrant Of The Abdomen Near The St Lymphatic System Lymphatic Lymphatic System Anatomy from i.pinimg.com The human abdomen is divided into quadrants and regions by anatomists and physicians for the purposes of study, diagnosis, and treatment. A spleen is soft and generally looks purple. Also, a palpable left upper quadrant mass may indicate a problem other than an enlarged spleen such as a hypernephroma. Chapter 8 left upper quadrant pain sheryl e. .spleen (quadrant) _ (region) _ • stomach (quadrant) _ (region) _ • urinary bladder. Left upper quadrant stomach, spleen, head of pancreas, left kidney. Spleen is located in quadrant most of the liver is in quadrant. Iviz left upper quadrant spleen kidney.
Iviz left upper quadrant spleen kidney.
• describe the most common benign splenic neoplasms.… A spleen is soft and generally looks purple. Splenomegaly is enlargement of the spleen. Anatomy quadrants and regions structures. On plain films, a mass was seen in the left upper quadrant, and on computed tomography (ct), a spleen with a whorled pedicle suggesting torsion was identified. Spleen is suspected when the pain associated with an abdominal mass can be relieved by moving it toward the upper left. .spleen (quadrant) _ (region) _ • stomach (quadrant) _ (region) _ • urinary bladder. Spleen and the kidney and the space between that and also around the spleen and around the when you're looking in the left upper quadrant you have to be aware there's another structure there. The etiology is diverse and may result from increased splenic activity, decreased venous drainage, or infiltration of the spleen. Founded by lando norris, quadrant combines lando's love for gaming, racing, content, and our vone drop is the first ever from quadrant and lando norris. The right upper quadrant contains the a. Iviz left upper quadrant spleen kidney. ( this quadrant is more of a triangle!) the term for where the intestines bend in the upper left quadrant under the spleen is the splenic flexure.
The spleen is located under the ribcage and above the stomach in the left upper quadrant of the abdomen. Left upper quadrant stomach, spleen, head of pancreas, left kidney. Spleen is an intraperitoneal organ located in the left upper quadrant with a smooth serosal surface. Lien (in latin).spleen is the largest lymphoid organ in the body (strictly speaking a hemolymphoid organ). Iviz left upper quadrant spleen kidney.
Abdominal Pain Causes By Location Stomach Anatomy And Quadrants Ezmed from images.squarespace-cdn.com It is made up of two different types of tissue. Other helpful signs include a splenic friction rub and shoulder pain that suggest. Spleen is located in the left upper quadrant. Goss objectives • list the basic anatomy and physiology of the spleen. The normal position of the spleen is within the peritoneal cavity in the left upper quadrant of the. The right upper quadrant contains the a. Left upper quadrant stomach, spleen, head of pancreas, left kidney. Quadrants and regions of abdomen.
Spleen is an intraperitoneal organ located in the left upper quadrant with a smooth serosal surface.
The right upper quadrant contains the a. Most splenic lesions are detected incidentally, posing a in this group of focal splenic lesions, patients present with left upper quadrant pain due to mass effect and stretching of the splenic capsule. Right lower quadrant large/small intestines, right ovary (if female). The chief functions of the spleen are:to filter blood. Normally, even if you press hard. Quadrants and regions of abdomen. The spleen is located in the upper left quadrant of the abdomen, under cover of the diaphragm and the note how the splenic vessels run within the splenorenal ligament. .spleen (quadrant) _ (region) _ • stomach (quadrant) _ (region) _ • urinary bladder. Causes of left upper quadrant pain. Wandering spleen is a rare condition in which the spleen migrates from its usual anatomical position enlarged spleen, with minimal or no enhancement. The human abdomen is divided into quadrants and regions by anatomists and physicians for the purposes of study, diagnosis, and treatment. Transcribed image text from this question. The left lower quadrant (llq) of the human abdomen is the area left of the midline and below the umbilicus.
Damso Et Sa Femme / Damso Sa Visite A Kinshasa Immortalisee Dans Un Documentaire Music In Africa / Damso sur l'instru de carré bleu. . Qui était sa maîtresse et deuxième femme francine ? Damso et toute sa famille fuient les conflits armés en 2001. Se découvrir aura conduit damso dans sa mère, non comme enfant mais comme homme. Sa mère dans le coma, damso repousse son album et booba se moque. Hk corp dir prod : Yannick douzouo et marine muller dop : Sa mère dans le coma, damso repousse son album et booba se moque. Je prends l'instru comme une femme. Damso ne perd pas le nord : On évoque avec lui l'idée d'un album commun avec damso, ses tatouages, sa femme et bien d'autres choses. Damso Le Rappeur Emu Aux Larmes Dans Quotidien En Evoqu Closer from file1.closermag.fr Un récent message concernant la fouine laissait pourtant penser ...
Zad Supermarket - Zad al ma'ad - Sounnah Store - Zad provides you with a modern lifestyle, away from traffic jam, cashier queues, supermarkets' would you like to know more about zad? . Yurdumuzun doğma marketi araz supermarket lər şəbəkəsi müştəri məmnuniyyətini hər şeydən üstün tutur. Zad is jordan's first specialized food caterer offering catering services from its 7500 m2 central kitchen, and producing up to 100,000 hot and cold multinational meals per day. Please contact with zad using information above: Zad is an electronic platform that provides all your daily. Zad provides you with a modern lifestyle, away from traffic jam, cashier queues, supermarkets' would you like to know more about zad? Zad supermarket culture capital wroclaw at crossroads of central europe history. It is larger and has a wider selection than earlier grocery stores. Does it offer vegetarian and vegan food? Please contact with zad using information above: Right from fres...
Prince Charles Out Of Hospital / Prince Charles Visits Dad Prince Philip In Hospital Photos Hello - Prince charles out of isolation after testing positive for coronavirus. . 627 rode road chermside qld 4032. Very handy to the prince charles hospital. Prince charles is on the road to recovery from the novel coronavirus. Prince charles was diagnosed with coronavirus on prince philip, 99, released from london hospital after 28 days. Prince charles is still practicing social distancing but he appeared virtually friday to open a new hospital dedicated to serving coronavirus patients. Prince charles has been unable to physically carry out some of his royal duties due to the coronavirus; While confirmed virus cases and deaths continued to rise steeply. Prince charles out of isolation after testing positive for coronavirus. He further went on to thank the planners, builders, nurses and doctors for before signing off, prince charles pointed out the lady with the lamp, whom th...
Komentar
Posting Komentar